
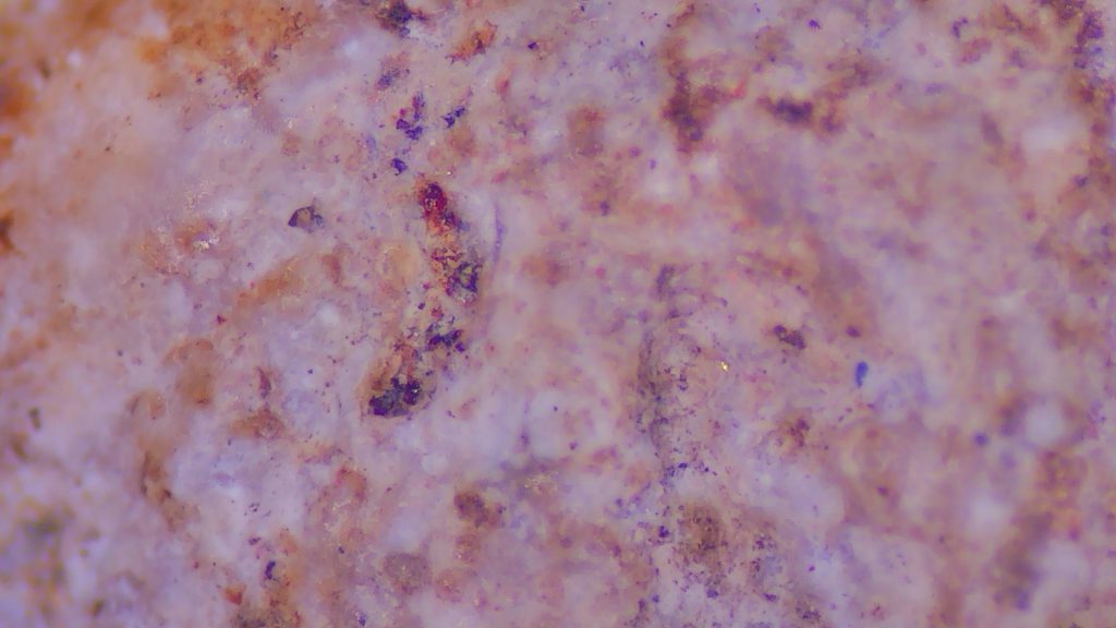
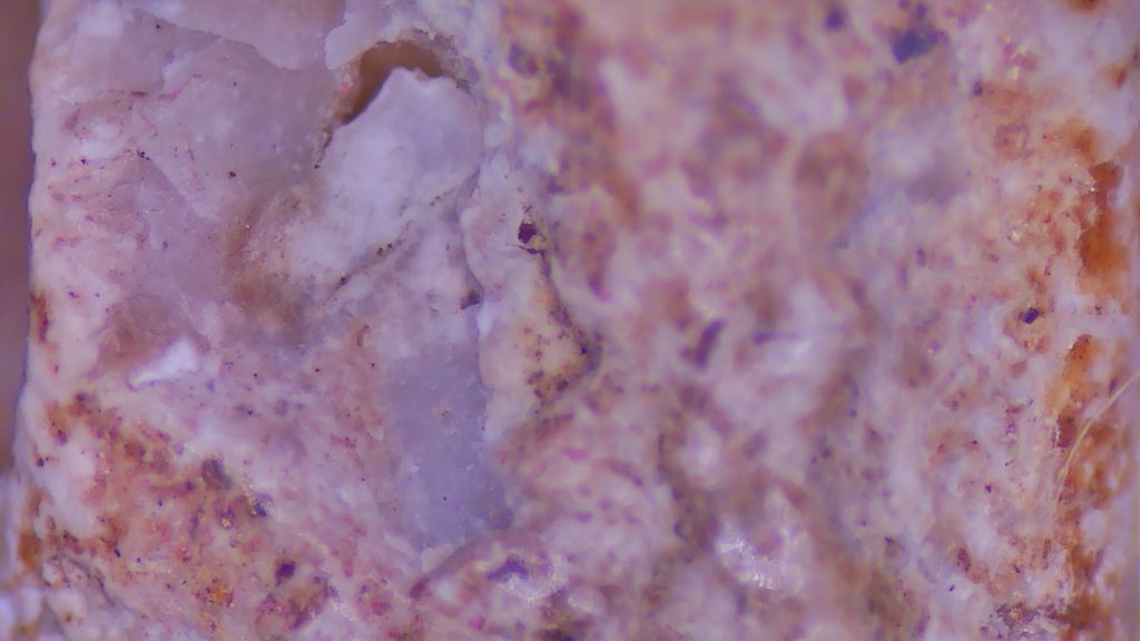
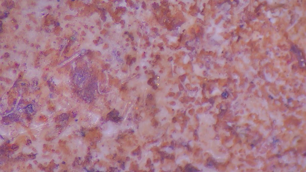
NW 19 พระสมเด็จพิมพ์ใหญ่ เส้นใย สวยงามบนองค์พระ ยุคปลาย 2410
NW19 崇迪佛牌 大模版 全身布满纤维 2410年代末期
ราคา 1,500,000 บาท 价格 1,500,000泰铢
คลิกที่รูป เพื่อดู กำลังขยายสูงสุด
พระสมเด็จวัดระฆัง พิมพ์ใหญ่ ถือเป็นหนึ่งในพระเครื่องที่ได้รับความนิยมสูงสุดในประเทศไทย และได้รับการยกย่องให้เป็น “จักรพรรดิแห่งพระเครื่อง” ด้วยความเก่าแก่ พุทธคุณ และประวัติการสร้างที่น่าสนใจ ทำให้พระพิมพ์นี้มีคุณค่าทั้งทางจิตใจและเป็นที่ต้องการของนักสะสมทั่วโลก




ผู้สร้างและประวัติการสร้าง
ผู้สร้างพระสมเด็จ พิมพ์ใหญ่ คือ สมเด็จพระพุฒาจารย์ (โต พรหมรังสี) แห่งวัดระฆังโฆสิตารามวรมหาวิหาร ซึ่งท่านเริ่มสร้างพระสมเด็จขึ้นตั้งแต่สมัยรัชกาลที่ 3 เป็นต้นมา โดยมีวัตถุประสงค์เพื่อเป็นพุทธบูชาและเป็นเครื่องยึดเหนี่ยวจิตใจให้พุทธศาสนิกชนได้ระลึกถึงพระพุทธเจ้าและหมั่นทำความดี




เชื่อกันว่าแม่พิมพ์พระสมเด็จวัดระฆังส่วนใหญ่แกะขึ้นโดย หลวงวิจารณ์เจียรนัย ซึ่งเป็นช่างทองหลวงในสมัยนั้น โดยท่านสมเด็จโตได้สร้างพระสมเด็จแจกจ่ายให้แก่ผู้มีจิตศรัทธา ไม่ได้มีการจำหน่าย ทำให้พระเครื่องรุ่นนี้ยิ่งมีความศักดิ์สิทธิ์และมีคุณค่าสูง




ลักษณะและพุทธศิลป์
พระสมเด็จพิมพ์ใหญ่มีลักษณะเด่นที่เห็นได้ชัดเจนคือ
พิมพ์ทรง: เป็นพระพุทธรูปปางสมาธิ ประทับนั่งอยู่บนฐาน 3 ชั้น
ซุ้มครอบแก้ว: องค์พระประดิษฐานอยู่ในกรอบซุ้มโค้งรูปทรงเหมือนระฆังคว่ำ




มวลสาร: ส่วนใหญ่ทำจากปูนขาวผสมผงพุทธคุณวิเศษ 5 ชนิดที่ท่านสมเด็จโตเป็นผู้สร้างขึ้นเอง ได้แก่ ผงปถมัง, ผงอิทธิเจ, ผงมหาราช, ผงพุทธคุณ และ ผงตรีนิสิงเห ซึ่งเป็นมวลสารที่เชื่อว่ามีพุทธคุณเข้มขลัง
เนื้อพระ: เนื้อพระที่เก่าแก่แท้จริงจะมีความหนึกนุ่ม แห้ง และอาจมีร่องรอยของคราบรักหรือตังอิ๊ว (น้ำมัน) ที่ใช้เคลือบองค์พระในสมัยก่อน




พุทธคุณ
พระสมเด็จ พิมพ์ใหญ่ เป็นที่เลื่องลือในพุทธคุณหลากหลายด้าน โดยเฉพาะในเรื่องของ:




เมตตามหานิยม: ทำให้ผู้คนรักใคร่เอ็นดู เข้าหาผู้หลักผู้ใหญ่ได้ง่าย




แคล้วคลาดปลอดภัย: เชื่อกันว่าสามารถคุ้มครองให้รอดพ้นจากภัยอันตราย อุบัติเหตุ และภยันตรายต่างๆ




โชคลาภและบารมี: ช่วยเสริมสร้างความเป็นสิริมงคล เสริมดวงชะตา และอำนาจบารมี




ด้วยประวัติศาสตร์อันยาวนานและพุทธคุณที่เลื่องลือ ทำให้พระสมเด็จ พิมพ์ใหญ่ ไม่ได้เป็นเพียงแค่พระเครื่อง แต่เป็นมรดกทางวัฒนธรรมและจิตวิญญาณที่สำคัญของไทย




















